CT, MRT, Röntgen und Co.: Diagnostik in der Radiologie Nürnberg
Wir decken in der Radiologie Nürnberg ein umfassendes Spektrum an radiologischen Untersuchungen ab.
Neben der Bildgebung der Gelenke oder der Lunge und des Bauchraumes führen wir auch Spezialuntersuchungen wie Kiefergelenks-MRT oder MRT gestützte Prostata-Biopsie durch. Weitere Schwerpunkte sind die Herzbildgebung und das Prostata-MRT.
Folgende Untersuchungen bieten wir allen Menschen an, die eine radiologische Praxis in Nürnberg, Fürth und Erlangen suchen:
CT
Strahlungsarme Computertomografie (CT)
3D-Aufnahme von Brustkorb (Thorax) und Bauchraum (Abdomen) mittels CT-Bildgebung in der Radiologie Nürnberg.
Wie funktioniert ein CT?
Die Computertomografie (CT) arbeitet mit Röntgenstrahlung. Während Sie auf einer Liege liegen, rotieren eine Röntgenröhre und Detektorsysteme um Ihren Körper. Dabei werden die von der Röntgenröhre ausgesendeten Röntgenstrahlen, je nachdem auf welche Körperstrukturen sie treffen, unterschiedlich stark absorbiert.
Die so abgeschwächten Strahlen treffen schließlich auf Detektorsysteme, die die Schwächungsunterschiede mithilfe von Computern in hochaufgelöste Bilddaten umwandeln können.
Im Gegensatz zu einem herkömmlichen Röntgenbild stehen die Bilder dem Radiologen unmittelbar nach der Untersuchung nicht in zweidimensionaler, sondern in dreidimensionaler Form zur Befundung zur Verfügung und erlauben so die Beurteilung selbst winziger Strukturen wie zum Beispiel der Gehörknöchelchenkette aus allen Richtungen. Die Untersuchung ist schmerzfrei.
Wie läuft ein CT ab?
Vor der Untersuchung werden Sie von uns umfangreich aufgeklärt und haben die Möglichkeit, Fragen zu stellen. Sollten Sie nach der Aufklärung keine weiteren Fragen haben und mit der Untersuchung einverstanden sein, kann das CT durchgeführt werden.
Während der nur wenige Sekunden dauernden CT-Bildgebung ist es besonders wichtig, dass Sie ruhig liegen bleiben. Damit lässt sich eine optimale Bildqualität gewährleisten. Sie werden im Untersuchungsraum jederzeit von unserem Personal überwacht und können über eine Gegensprechanlage mit uns kommunizieren.
Brauchen wir Kontrastmittel?
Die CT verfügt zwar über eine sehr hohe Detailauflösung. Manchmal reicht diese aber nicht aus, um gesundes Gewebe von erkranktem Gewebe zu unterscheiden. In diesem Fall ist die Gabe von Kontrastmittel sinnvoll, damit ein aussagekräftiger Befund erstellt werden kann. Das Kontrastmittel ist eine wasserlösliche, jodhaltige Flüssigkeit, die in der Regel gut vertragen wird.
Wann kommt ein CT zum Einsatz?
Es lassen sich innerhalb weniger Sekunden überlagerungsfreie Bilder Ihres Körpers erzeugen. Dabei kann die Computertomografie für alle Körperregionen von Kopf bis Fuß eingesetzt werden. Ob in Ihrem Fall die CT die bildgebende Methode der Wahl ist, hängt von Ihrer individuellen Fragestellung ab. Unser Team wird mit Ihnen gemeinsam über die sinnvollste und bestmögliche radiologische Bildgebung in Ihrem Fall entscheiden.
Wann darf eine CT nicht durchgeführt werden?
Es gibt nur wenige Gründe, warum eine CT-Untersuchung nicht oder nur in Notfällen eingesetzt werden sollte. Besondere Vorsicht ist bei folgenden Patientengruppen geboten:
- Kinder oder Schwangere aufgrund der Strahlenbelastung
- Patienten mit bekannter allergischer Reaktion gegen CT-Kontrastmittel
- Patienten mit eingeschränkter Nierenfunktion oder Schilddrüsenüberfunktion
- Patienten, die bestimmte Medikamente (wie zum Beispiel Metformin bei Diabetikern) einnehmen, die womöglich mit dem CT-Kontrastmittel interagieren.
Wir erkundigen uns im Vorfeld bei Ihnen über mögliche Gegenanzeigen für eine CT-Untersuchung.
Wie hoch ist die Strahlendosis?
Unsere CT-Scanner sind mit modernster Technik ausgestattet und erlauben uns Niedrigdosisuntersuchungen aller Körperregionen bei optimaler Bildqualität. Insbesondere mit Hilfe unseres Dual-Source CTs (Zweiröhrentechnik) steht uns ein High-End-Gerät zur Verfügung, das Herz-CT-Untersuchungen mit einer vergleichbaren Strahlenbelastung wie bei zwei Langstreckenflügen ermöglicht.
Herz-CT
Herz-Computertomografie (Herz-CT)
3D-Aufnahme des Herzens mittels Herz-CT in der Radiologie Nürnberg.
Wer führt das Herz-CT durch?
Der Chefarzt der Radiologie Nürnberg, Prof. Dr. med. Wolfgang Wüst, verfügt über die höchste Qualifikationsstufe für Herz-CT: das Q3-Zertifikat der Deutschen Röntgengesellschaft.
Wie funktioniert ein Herz-CT?
Pro Jahr erleiden über 200.000 Menschen in Deutschland einen Herzinfarkt und mehr als 50.000 versterben daran. Mittels Herz-CT können frühzeitig Veränderungen der Herzkranzgefäße erkannt und entsprechende medikamentöse Therapien oder Änderungen des Lebensstils eingeleitet werden, um einem Herzinfarkt vorzubeugen.
Mit der Herz-CT können insbesondere Verengungen und Verkalkungen der Herzkranzgefäße dargestellt werden. Optimale Bildqualität bei individuell angepasster Niedrigdosisuntersuchung erfordert modernste Technik, die in der Radiologie Nürnberg in Form eines High-End Dual Source CT-Gerätes zur Verfügung steht.
Solch moderne Gerätetechnik ist in radiologischen Praxen im Großraum Nürnberg, Fürth und Erlangen nicht anzutreffen.
Wie hoch ist die Strahlendosis?
Im Gegensatz zu vielen in der Region vorhandenen CT-Geräten kann mit unserem CT-Gerät aufgrund der hohen zeitlichen Auflösung und der schnellen Untersuchungstechnik ein schlagendes Organ wie das Herz mit sehr geringer Dosis dargestellt werden.
Je nach individueller Körperstatur liegt die Untersuchungsdosis häufig unter der jährlichen durchschnittlichen natürlichen Strahlenbelastung eines in Deutschland lebenden Menschen.In vielen Fällen kann so eine Herzkatheteruntersuchung mit den damit verbundenen Risiken vermieden werden.
Wie läuft die Untersuchung ab?
Die Bildqualität der Herz-CT wird von der Qualität des verwendeten CT-Geräts, aber auch von einer möglichst niedrigen und regelmäßigen Herzfrequenz bestimmt. Um die Herzfrequenz vor der Untersuchung zu stabilisieren, werden häufig herzfrequenzsenkende Medikamente eingesetzt. Das sind die sogenannten Beta-Blocker. Zur Beurteilung eventueller Engstellen der Herzkranzgefäße wird ein gut verträgliches, jodhaltiges Kontrastmittel verabreicht.
Um den Grad der Verkalkung Ihrer Herzkranzgefäße zu bestimmen, kann zusätzlich ein sogenanntes Calcium-Scoring (Kalkscore) durchgeführt werden. Mit dem Ergebnis kann das individuelle Risiko abgeschätzt werden, im weiteren Leben an relevanten Engstellen zu erkranken und im Zuge dessen einen Herzinfarkt zu erleiden. Das Calcium-Scoring (Kalkscore) wird ohne Kontrastmittel und mit äußerst niedriger Dosis durchgeführt.
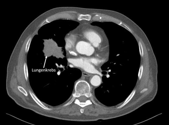
Lungen-CT
Lungen-CT
Darstellung eines Lungenkrebs im Lungen-CT (Thorax-CT) in der Radiologie Nürnberg.
Wie häufig ist Lungenkrebs?
Sowohl bei Frauen als auch bei Männern zählt Lungenkrebs zu den fünf häufigsten Krebserkrankungen. Insbesondere das Rauchen erhöht das Risiko, einen bösartigen Lungentumor zu bekommen.
Rund 85 Prozent der an Lungenkrebs erkrankten Patienten sind Raucher. Wie bei vielen Tumorarten ist auch Lungenkrebs im Frühstadium häufig symptomlos. Doch gerade in diesem Stadium ist er in der Regel heilbar. Somit ist ein frühzeitiges Erkennen wünschenswert.
Wie kann Lungenkrebs mit der Bildgebung erkannt werden?
Mithilfe einer Lungen-CT kann die Lunge millimetergenau untersucht werden. Die Untersuchung ist dabei vollkommen schmerzfrei und kann zur Beurteilung der Lunge auch ohne die zusätzliche Gabe von Kontrastmittel (nativ) erfolgen. Dabei dauert die eigentliche Bilderzeugung nur wenige Sekunden.
Wie hoch ist die Strahlendosis beim Lungen-CT?
Aufgrund der technischen Weiterentwicklung kann die Untersuchung mit Hilfe von High-End Dual-Source CT-Scannern auch mit sehr geringer Strahlenbelastung durchgeführt werden. Diese liegt unter der natürlichen Strahlenbelastung, der jeder von uns in Deutschland im Durchschnitt in einem Jahr ausgesetzt ist.
MRT
Magnetresonanztomografie (MRT)
3D-Aufnahme mittels MRT in der Radiologie Nürnberg.
Wie funktioniert ein MRT?
Bei der Magnetresonanztomografie (MRT) wird mit Hilfe eines starken Magnetfeldes und ausgesendeter Radiowellen eine Reihe von Bildern erzeugt. Dabei spielen Wasserstoffkerne im menschlichen Körper eine wichtige Rolle, denn sie richten sich entsprechend des starken Magnetfeldes aus. Das ist nicht gefährlich und nicht mit Schmerzen verbunden.
Im Gegensatz zur Röntgendiagnostik und Computertomografie (CT) kommt die MRT ohne jegliche Röntgenstrahlung aus. Daher kann die MRT beliebig oft wiederholt werden und kommt insbesondere bei jüngeren Menschen zum Einsatz.
Die Untersuchungszeiten sind dafür allerdings länger als in der Röntgen- oder CT-Bildgebung. Je nach Körperregion und individueller Fragestellung dauert sie ungefähr 30 Minuten.
Wie läuft ein MRT ab?
Wie bei einer CT-Untersuchung werden Sie vor der Untersuchung von uns umfangreich aufgeklärt und haben die Möglichkeit, Fragen zu stellen. Sollten Sie nach der Aufklärung keine weiteren Fragen haben und mit der Untersuchung einverstanden sein, kann die MRT durchgeführt werden.
Der Untersuchungsraum darf aufgrund des ständig wirksamen Magnetfeldes nicht mit metallischen Gegenständen betreten werden. Dies gilt unter anderem auch für Scheckkarten oder Handys, die in der Umkleide verbleiben müssen. Die Wertsachen werden während der Untersuchung sicher aufbewahrt.
Während der MRT liegen Sie auf dem Rücken in einer Röhre mit einem großzügigen Durchmesser von 70 Zentimetern. Es kommt zu Klopfgeräuschen, die durch schnell wechselnde Magnetfelder verursacht werden. Daher erhalten Sie unmittelbar vor der Untersuchung Gehörschutz und/oder Ohrenstöpsel.
Während der Messungen ist es besonders wichtig, ruhig liegen zu bleiben und eventuelle Atemkommandos so gut wie möglich zu befolgen. Unser Team überwacht Sie mit Hilfe eines Monitors und steht mit Ihnen über eine Gegensprechanlage in Verbindung.
Brauchen wir Kontrastmittel?
Die Magnetresonanztomografie verfügt über einen hervorragenden Weichteilkontrast, sodass die meisten Untersuchungen auch ohne Kontrastmittel durchgeführt werden können. Allerdings hängt es von Ihrer individuellen Fragestellung und der zu untersuchenden Körperregion ab, ob Kontrastmittel benötigt wird oder nicht.
Bei der Frage nach entzündlichen Veränderungen oder Tumordiagnostik liefert das Kontrastmittel häufig entscheidende Informationen, da es von erkrankten oder verändertem Gewebe anders aufgenommen wird als von gesundem Gewebe. Im Gegensatz zum CT-Kontrastmittel sind MRT-Kontrastmittel nicht jodhaltig, sondern gadoliniumhaltig. Das bei uns verwendete MRT-Kontrastmittel wird in der Regel sehr gut vertragen.
Wann kommt ein MRT zum Einsatz?
Die MRT wird bei vielfältigen Fragestellungen eingesetzt und ist ein wesentlicher Bestandteil moderner radiologischer Diagnostik. Häufig kommt sie bei Untersuchungen des Gehirns, der Wirbelsäule, der Sehnen, Bänder und Gelenke zum Einsatz.
Darüber hinaus liefert sie wichtige Informationen über Veränderungen von Weichteilen, Organen und Gefäßen. Ihr betreuender Radiologe wird mit Ihnen gemeinsam über die sinnvollste und bestmögliche radiologische Bildgebung in Ihrem individuellen Fall entscheiden.
Wann darf eine MRT nicht durchgeführt werden?
Metallimplantate wie Herzschrittmacher, Defibrillatoren oder Cochleaimplantate können die Bildqualität deutlich verschlechtern und zu unerwünschten Wechselwirkungen mit dem angrenzenden Gewebe führen. In diesen Fällen kann die Untersuchung nur mit MRT-tauglichen Herzschrittmachern oder Defibrillatoren durchgeführt werden.
Alle nicht fest implantierten magnetisierbaren Gegenstände (Uhren, Bankkarte sowie andere Magnetstreifenkarten, Münzen, Haarnadeln, Brille, Schmuck und Co.) sind vor Betreten des Untersuchungsraumes abzulegen, da es sonst zu unerwünschten Wechselwirkungen mit dem Magnetfeld kommen kann.
Großflächige, mit metallischen Farbpigmenten verunreinigte Tattoos können zu Verbrennungen führen und in Schminke enthaltene metallische Farbpigmente können die Bildqualität insbesondere bei Untersuchungen der Kopfregion beeinträchtigen. Daher würden wir sie bitten, am Untersuchungstag nur wenig Schminke zu tragen. Bei Schwangeren wird die MRT nur in Ausnahmefällen eingesetzt.
Unproblematisch sind in der Regel:
- Gefäßprothesen (Stents)
- Gelenkersatz
- Künstliche Herzklappen
- Drahtcerclagen (zum Beispiel nach Herz-OP)
- Zahnimplantate
Sollte eine Magnetresonanztomografie bei Ihnen nicht durchführbar sein, kann Ihre Diagnostik eventuell mit einer CT, einer Röntgenuntersuchung oder einer Sonografie erfolgen.
Herz-MRT
Herz-Magnetresonanztomografie (Herz-MRT)

Wer führt das Herz-MRT durch?
Der Chefarzt der Radiologie Nürnberg, Prof. Dr. med. Wolfgang Wüst, verfügt über die höchste Qualifikationsstufe für Herz-MRT: das Q3-Zertifikat der Deutschen Röntgengesellschaft.
Wie funktioniert ein Herz-MRT?
Für die Beurteilung der Pumpfunktion des Herzens oder von Narbengewebe zum Beispiel nach einem Herzinfarkt oder nach einer Herzmuskelentzündung (Myokarditis) ist die Herz-MRT die Methode der Wahl und der Computertomografie diesbezüglich deutlich überlegen. Insbesondere durch den exzellenten Weichteilkontrast können Veränderungen des Herzmuskels optimal dargestellt werden.
Was ist ein Stress-MRT?
Eine in den letzten Jahren immer wichtiger werdende Untersuchung ist die sogenannte Stress-MRT. Dabei werden in der CT-Untersuchung beschriebene Engstellen hinsichtlich ihrer Behandlungsbedürftigkeit untersucht. Erweist sich die Engstelle in der Stressuntersuchung als nicht relevant, kann auf eine Herzkatheteruntersuchung verzichtet werden.
Wie läuft die Untersuchung ab?
Die Herz-MRT zählt zu den technisch schwierigsten Untersuchungen. Umso wichtiger sind daher ein kompetentes Team und die Verfügbarkeit modernster MRT-Geräte. Die Untersuchungsdauer beträgt zwischen 30 und 45 Minuten. Während der Untersuchung werden Atemkommandos gegeben, um die Bildqualität nicht durch Atemartefakte zu verschlechtern.
Bei der Stress-MRT wird ein Medikament in eine Vene gespritzt. Damit kann beurteilt werden, ob über eine Engstelle in den Herzkranzgefäßen noch ausreichend Sauerstoff transportiert wird oder ob es zu einer Minderversorgung des Herzmuskels kommt.
Um eine optimale Wirkung des Medikaments zu erreichen, muss im Vorfeld der Untersuchung (mindestens 24 Stunden) auf das Konsumieren von Getränken und Speisen, die Koffein, Theophyllin oder Theobromin enthalten, verzichtet werden. Dazu gehören Kaffee, Kakao, koffeinfreier Kaffee, Tee, Energy Drinks, Cola und Schokolade.
Nach Möglichkeit sollten Sie auch auf folgende Medikamente verzichten:
- Nitrate (Nitrolinqual, Molsidomin, ISDN, Corvaton)
- Beta-Blocker (zum Beispiel: Metoprolol, Beloc Zok, Carvedilol, Bisoprolol)
- Medikamente mit dem Wirkstoff "Theophyllin"
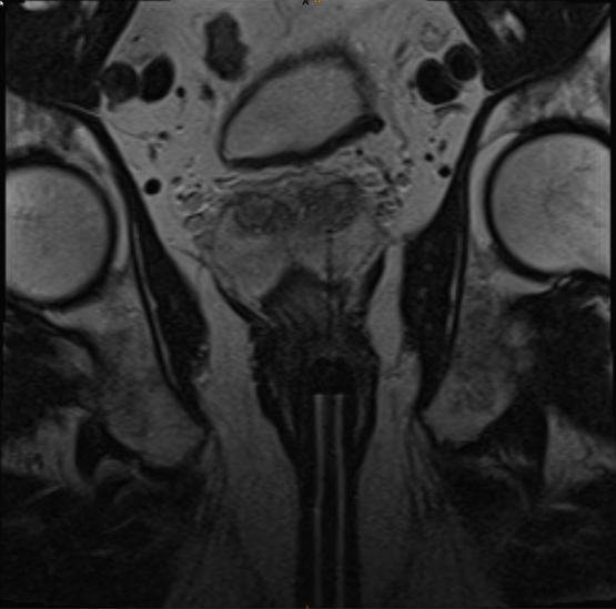
Prostata-MRT
Prostata-Magnetresonanztomografie (Prostata-MRT)
Durch ein multiparametrisches Prostata-MRT entdeckter Prostatakrebs in der Radiologie Nürnberg.
Wer führt das Prostata-MRT durch?
Der Chefarzt der Radiologie Nürnberg, Professor Dr. med. Wolfgang Wüst, und sein Oberarztteam verfügen über die höchste in Deutschland erreichbare Qualifikationsstufe für das Prostata-MRT: das Q2-Zertifikat der Deutschen Röntgengesellschaft für mpMRT Prostata.
Wie funktioniert die multiparametrische Prostata-MRT?
Das Prostatakarzinom ist mit jährlich rund 50.000 Neuerkrankungen in Deutschland die häufigste bösartige Tumorerkrankung bei Männern. Wie bei vielen bösartigen Tumorerkrankungen ist es im Frühstadium meist symptomlos und wird deshalb oft erst spät entdeckt.
Bei rund 30 Prozent der über 50-jährigen Männer und bis zu 70 Prozent der 80-jährigen Männer findet sich ein symptomloses Prostatakarzinom. Aufgrund dieser Zahlen ist eine frühzeitige Erkennung des Tumors essentiell.
Dabei spielt die multiparametrische Prostata-MRT die zentrale Rolle und ist herkömmlichen Vorsorgemethoden wie dem Tastbefund, der Ultraschalluntersuchung oder der Bestimmung des Prostata-spezifischen Antigens (PSA-Wert) aus einer Blutprobe überlegen.
Bei der Prostata-Magnetresonanztomografie kommen verschiedene Techniken zur Darstellung der Anatomie, der Zelldichte und der Gefäßversorgung der Prostata zum Einsatz. Die Prostata-MRT gilt daher zurzeit als das sensitivste radiologische Verfahren einen Tumor zu entdecken, wobei ein unauffälliges MRT die Erkrankung mit hoher Sicherheit ausschließt. Dadurch können eventuell unnötige diagnostische und therapeutische Eingriffe verhindert werden.
Die Prostata-MRT ist eine aufwändige und technisch anspruchsvolle Untersuchung und liefert nur in der Hand von Experten verlässliche und reproduzierbare Ergebnisse. Wichtig ist der Einsatz moderner Techniken, wie sie von den Fachgesellschaften für Urologie und Uroradiologie im Rahmen der sogenannten multiparametrischen MRT (mpMRT) gefordert werden. Die Begutachtung erfolgt gemäß der sogenannten PI-RADS-Kriterien („Prostate Imaging Reporting and Data System") in ihrer aktuellen Version.
Wie läuft die Untersuchung ab?
Entscheidend für eine optimale Bildqualität sind bewegungsfreie Aufnahmen. Da die Untersuchung rund 30 Minuten dauert, sollten Sie bequem im Gerät liegen und Ihre Harnblase sollte weitgehend entleert sein. Am Tag vor der Untersuchung sollte auf blähende Speisen wie Bohnen wenn möglich verzichtet werden, da größere Luftansammlungen im Enddarm die Bildqualität beeinträchtigen können.
Eventuelle Darmbewegungen können mit Hilfe eines gut verträglichen Medikamentes zusätzlich herabgesetzt werden. Der Einsatz einer in den Enddarm eingeführten Spule („Endorektalspule“) ist aufgrund der Modernität unseres MRT-Gerätes und der verwendeten Sequenzen nicht nötig.
Für wen ist ein Prostata-MRT sinnvoll?
Ein auffälliger PSA-Wert oder ein auffälliger Tastbefund sind die häufigsten Gründe für ein Prostata-MRT. Weder der PSA-Wert noch der Tastbefund bedeuten allerdings, dass mit Sicherheit eine Tumorerkrankung vorliegt. Diese Befunde können nämlich auch durch Entzündungen entstehen und somit gutartig sein.
Die Prostata-MRT kann gutartige von bösartigen Veränderungen unterscheiden und liefert daher essentielle Informationen, um eine Prostata-Biopsie bei gutartigen Befunden zu verhindern oder bei bösartigen Befunden exakt zu planen. Die Prostata-MRT liefert Ihnen eine genaue Diagnose. Dadurch können nicht nur eine Prostata-Biopsie an sich, sondern auch unnötiger Schmerz und Stress verhindert werden.
Prostata-Biopsie
MRT gesteuerte Prostata-Biopsie in der Radiologie Nürnberg.
Was ist eine MRT-gesteuerte Prostata-Biopsie?
Wird ein tumorverdächtiges Areal in der Prostata-MRT entdeckt, sollte dieser Bereich gezielt biopsiert werden, um die Diagnose zu sichern und die eventuelle Aggressivität des Tumors und die damit verbundene individuelle Therapie zu bestimmen.
Wie läuft eine MRT-gesteuerte Prostata-Biopsie ab?
Neben der Ultraschall-gesteuerten-Biopsie der Prostata gibt es noch eine zweite Möglichkeit einen auffälligen Befund in der Prostata abzuklären: die MRT-gesteuerte Prostata-Biopsie.
Hierbei werden nicht wie in der ultraschallgesteuerten Biopsie 10-12 Gewebeproben aus der Prostata entnommen, sondern lediglich 2-3 Gewebeproben aus den im Prostata-MRT auffälligen Bereichen. Dies reduziert das Infektions- und Blutungsrisiko und ist für Sie deutlich weniger schmerzhaft.
Die Prostata-Biopsie im MRT bietet Ihnen darüber hinaus einen weiteren wichtigen Vorteil. Sie bedarf nicht dem übereinanderlegen von Ultraschall und MRT-Daten im Rahmen einer sogenannten Prostata-Fusionsbiopsie. Bei dieser Fusionsbiopsie werden die Bilder des Prostata-MRTs auf einem Ultraschallgerät angezeigt, um die Probenentnahme der auffälligen Areale in der Prostata zu erleichtern.
Diese Technik birgt immer eine gewisse Ungenauigkeit, die im MRT nicht auftritt. Im MRT können die festgestellten Veränderungen ohne die Ungenauigkeit einer Fusion biopsiert werden.
Terminvereinbarung für eine MRT-gesteuerte Prostata-Biopsie
Für die Prostata-Biopsie wird nach der Prostata-MRT ein separater Termin ausgemacht. Aufgrund unserer langjährigen Expertise verfügen wir als einzige Radiologie im Großraum Nürnberg, Fürth und Erlangen über die Möglichkeit die tumorverdächtigen Areale auch im MRT zu biopsieren.
Kopf-Hals
Kopf-Hals-Radiologie

Was umfasst die Kopf-Hals-Radiologie?
Dieser Bereich deckt das Gehirn, die Schädelbasis, die Nase und Nasennebenhöhlen, die Augen, das Ohr, den Mund- und Rachenraum als auch viele Gefäß- und Nervenstrukturen ab. Bei so vielfältigen Strukturen auf engstem Raum ist sowohl eine sehr gute Bildqualität als auch eine umfassende Kenntnis der jeweiligen Anatomie unerlässlich. Für die Bildgebung werden hauptsächlich die Computertomografie (CT) und die Magnetresonanztomografie (MRT) eingesetzt.
Mit welchen Symptomen komme ich zum Radiologen?
Am häufigsten werden Patienten vom Neurologen oder dem Hals-Nasen-Ohren-Arzt zum Radiologen überwiesen. Die Beschwerden reichen dabei von Kopfschmerzen, Schwindel, Ohrensausen („Tinnitus“), Gedächtnisproblemen bis hinzu Gesichtsschmerz oder Fremdkörpergefühl im Hals beim Schluckakt.
Aber auch abgelaufene Schlaganfälle, akute Ereignisse wie Sturz auf den Kopf, entzündliche Veränderungen (zum Beispiel nach einem Zeckenbiss oder durch langjährigen Bluthochdruck) können mit Hilfe der Bildgebung abgeklärt werden.
Auch Zufallsbefunde wie zum Beispiel die Erweiterung der Hirngefäße („Aneurysma“) oder Verengungen („Stenosen“) lassen sich so diagnostizieren und rechtzeitig behandeln.
Welche Diagnostik kommt in der Kopf-Hals-Radiologie Nürnberg zum Einsatz?
Ob in Ihrem Fall eine CT- oder MRT-Untersuchung mit oder ohne Kontrastmittel durchgeführt werden sollte, hängt von Ihrer jeweiligen individuellen Fragestellung ab. Hier werden wir uns im Vorfeld der Untersuchung mit Ihrem Fall beschäftigen und falls notwendig mit Ihrem zuweisenden Arzt Kontakt aufnehmen, um die für Sie aussagekräftigste Untersuchung durchzuführen.
Spezielle Verfahren der Kopf-Hals-Radiologie
Warum kommt ein Kiefergelenks-MRT bei craniomandibulärer Dysfunktion (CMD) zum Einsatz?
Die Behandlung einer CMD ist komplex und bedarf interdisziplinärer Zusammenarbeit. Die Symptome und Beschwerden sind meist vielfältig und betreffen unterschiedlichste Körperbereiche.
Ein Grund für die Beschwerden bei einer CMD können Veränderungen im Kiefergelenk sein. Diese lassen sich nicht immer vom Zahnarzt oder Mund-Kiefer-Gesichtschirurgen (MKG) durch eine klinische Untersuchung genauer beurteilen.
Ein wichtiges diagnostisches Hilfsmittel ist dann die MRT des Kiefergelenks, um die Anatomie und funktionelle Störungen abzubilden. Da das Kiefergelenk ein sehr kleines Gelenk ist, bedarf es hier ebenfalls sehr guter Bildqualität und der entsprechenden Expertise bei der Befundung.
Auch hier verfügen wir über jahrelange Erfahrung und bieten diese spezielle MRT-Untersuchung an. Die Kopf-Hals Radiologie zählt zu den Spezialgebieten von Professor Wüst. Eine entsprechende Expertise ist im Großraum Nürnberg, Erlangen und Fürth unter Radiologen und in radiologischen Praxen selten.
Röntgen
Röntgen
Röntgen-Aufnahme in der Radiologie Nürnberg.
Wie funktioniert das Röntgen?
Trotz der immer weiter zunehmenden Verfügbarkeit der Computer- und Magnetresonanztomografie ist die konventionelle Röntgenuntersuchung insbesondere für die Darstellung der Knochen und der Lunge weiterhin als Basisuntersuchung unverzichtbar.
Der technische Fortschritt hat auch beim Röntgen Einzug gehalten und so werden die Aufnahmen inzwischen nicht mehr mit analogen Röntgenfilmen, sondern digital aufgenommen. Dadurch kann die Bildqualität bei deutlich reduzierter Strahlenbelastung optimiert werden. Außerdem entfällt das Risiko für Fehlbelichtungen, die früher dazu führten, dass viele Aufnahmen wiederholt werden mussten. Die moderne Radiologie im Krankenhaus Martha-Maria Nürnberg verfügt über die aktuellste Röntgengerätegeneration.
Wie läuft das Röntgen ab?
Die schmerzlose Untersuchung dauert meist nur wenige Minuten. Um eine optimale Bildqualität zu gewährleisten, darf die zu untersuchende Körperregion nicht durch Fremdmaterial (zum Beispiel Schmuck oder Bügel-BH) überlagert werden. Entsprechend sollten diese vor der Untersuchung abgelegt werden.
Unser geschultes Personal bringt Sie für die angeforderte Aufnahme in die richtige Haltung und betreut Sie während der Untersuchung. Unmittelbar im Anschluss können die digitalen Röntgenaufnahmen befundet werden.
Durchleuchtung
Durchleuchtung
Darstellung des Schluckaktes bei Fremdkörpergefühl mittels Durchleuchtungsuntersuchung in der Radiologie Nürnberg.
Wie funktioniert die Durchleuchtung?
Bei dieser Untersuchung kommen wie beim Röntgen und der Computertomografie Röntgenstrahlen zur Anwendung. Bei der Durchleuchtung geht es um die Darstellung von Bewegungsabläufen in Echtzeit. Insbesondere bei Patienten mit Schluckstörungen oder Fremdköpergefühl im Hals sollte eine Durchleuchtungsuntersuchung in Form eine Ösophagusbreischluckuntersuchung durchgeführt werden.
Dabei wird auf Kommando ein wasserlösliches Kontrastmittel geschluckt. Während des Schluckaktes werden Bilder des Halsbereichs, des Brustkorbs mit der Speiseröhre und des Oberbauchs mit Magen und Darm angefertigt. Dies ermöglicht eine genaue Analyse der einzelnen Phasen des Schluckaktes und das Auffinden von eventuellen Engstellen oder funktionellen Störungen.
Ist die Durchleuchtung schmerzhaft?
Die Untersuchung ist vollkommen schmerzfrei und dauert nur wenige Minuten. Daneben gibt es noch weitere Fragestellungen wie Darmentleerungsstörungen oder die Darstellung des Magen-Darm-Traktes mittels Kontrastmittel.
Ultraschall
Ultraschall (Sonografie)
Ultraschall-/ Sonografieaufnahme in der Radiologie Nürnberg.
Wie funktioniert der Ultraschall?
Bei der Sonografie werden unbedenkliche Schallwellen von einem Schallkopf ausgesendet und unterschiedlich stark von Strukturen im menschlichen Körper reflektiert. Die Schallwellen sind für das menschliche Ohr nicht hörbar. Das Verfahren ist schmerzfrei und bedarf in der Regel keiner speziellen Vorbereitung.
Wann und wo kommt Ultraschall zum Einsatz?
Je nachdem welche Körperregion untersucht wird, werden verschiedene Schallköpfe mit unterschiedlichen Eigenschaften verwendet. Insbesondere nahe an der Oberfläche liegende Organe wie die Schilddrüse sind durch die Ultraschalldiagnostik optimal zugänglich. Allerdings sind auch tiefer gelegene Organe im Bauchraum so darstellbar. Lufthaltige Organe wie zum Beispiel die Lunge, der Dickdarm oder verkalkte Strukturen wie Knochen sind mit dem Ultraschall nicht ausreichend beurteilbar und können nicht von den ausgesandten Schallwellen durchdrungen werden. Auch hinter der Luft oder dem Knochen liegendes Gewebe ist deshalb nicht weiter auswertbar.
In diesen Fällen stehen alternative Verfahren wie die Computertomografie oder Magnetresonanztomografie zur Verfügung.
Interventionelle Radiologie
Interventionelle Radiologie
CT gesteuerte Intervention mit punktgenauer Positionierung der Nadel in der Radiologie Nürnberg.
Was ist die interventionelle Radiologie?
Aufgrund des technischen Fortschritts steht eine Vielzahl von minimal-invasiven radiologischen Verfahren zur Verfügung, die unter Bildsteuerung (zum Beispiel Computertomografie oder Magnetresonanztomografie) durchgeführt werden. Sie stellen eine Kombination aus reiner Bildgebung und Behandlung dar und sind eine Alternative oder Ergänzung zu operativen Eingriffen.
Häufige Einsatzgebiete sind dabei unter anderem Gewebeprobeentnahmen bei tumorverdächtigen Befunden in der Bildgebung (Biopsie), das Einlegen von Plastikschläuchen in Flüssigkeitsansammlungen nach einer Operation oder das Verkochen von Metastasen – zum Beispiel in der Leber (Mikrowellenablation). Viele dieser Eingriffe können auch ambulant angeboten werden.
Was sind minimal-invasive Tumorbehandlungen?
Die moderne Radiologie hat sich in den letzten Jahren auch zu einem therapeutischen Fach entwickelt, sodass die Möglichkeit, auch Tumore oder Tumormetastasen mit Hilfe einer Sonde, die direkt in das erkrankte Gewebe eingebracht wird, zu verkochen (Mikrowellenablation). Dieses Verfahren wird üblicherweise stationär unter Vollnarkose durchgeführt.
Im Gegensatz zu einer Operation ist das Auftreten von Komplikationen seltener und der Eingriff ist für den Patienten deutlich schonender. Bereits nach zwei Tagen kann der Patient in der Regel das Krankenhaus verlassen.
Ob dieses Verfahren auch bei Ihnen angewendet werden kann, hängt von Ihrer individuellen Tumorausdehnung und von Ihrem Allgemeinzustand ab.