Krankenhaus Martha-Maria St. Theresien
Herz-CT, Prostata-MRT, Ganzkörper-MRT und Co.

Untersuchungen in der Radiologie Nürnberg

Die Radiologie Nürnberg bietet zahlreiche Vorsorge-Untersuchungen. Dazu gehören beispielsweise die Schlaganfall-Vorsorge, die Herzinfarkt-Vorsorge und die Prostatakrebs-Vorsorge.

Vorsorge-Untersuchungen in der Radiologie Nürnberg Martha-Maria

Radiologische Untersuchungen zur Schlaganfall-, Herzinfarkt- und Krebsvorsorge

Im Gegensatz zu allen anderen Fachdisziplinen kann die Radiologie vollkommen schmerzfrei und ohne Sie zu berühren in den gesamten Körper hineinschauen.

Die moderne Radiologie und ihre Geräte ermöglichen es, millimetergenaue Aufnahmen zu erstellen. Dadurch lassen sich mittels Ganzkörper-MRT, Herz-CT und Co. frühzeitig Veränderungen erkennen. So kann innerhalb eines Arztbesuchs der gesamte Körper untersucht werden. 

Die Radiologie im Krankenhaus Martha-Maria St. Theresien Nürnberg bietet dabei zahlreiche Vorsorge-Untersuchungen an.

Folgende Vorsorge-Untersuchungen bieten wir allen Menschen an, die eine Radiologie oder eine radiologische Praxis in Nürnberg, Fürth und Erlangen suchen:

Als Experten für Vorsorge-Untersuchungen für Tumor- und Krebserkrankungen stehen wir Ihnen wie eine radiologische Praxis in Nürnberg, Fürth und Erlangen jederzeit zur Verfügung. Sollten Sie Fragen oder Interesse haben, melden Sie sich gerne jederzeit bei uns. Wir helfen Ihnen.

Schmerzfreie Vorsorge: Für wen sind Herz-CT, Prostata-MRT und Co. sinnvoll?

Vorsorge kann Leben retten! Viele Menschen wissen nicht, dass es auch in der Radiologie dank bildgebender Verfahren verschiedene Vorsorgemöglichkeiten gibt – und zwar ganz ohne Schmerzen und Berührung.

Prof. Dr. Wolfgang Wüst, Chefarzt des Instituts für Radiologie am Krankenhaus Martha-Maria St. Theresien Nürnberg, erklärt als Gast im Podcast, für wen bildgebende Vorsorgeverfahren wie Herz-CT oder Prostata-MRT sinnvoll sind. Außerdem erläutert er, ob sogenannte Ganzkörper-Scans wirklich empfehlenswert sind. 

Ganzkörper-MRT

Eine Aufnahme aus einem Ganzkörper-MRT

Ein Bespiel einer Ganzkörper-MRT in der Radiologie Nürnberg Martha-Maria.

Was ist ein Ganzkörper-MRT?

Der Körper ist ein komplexes System. In jedem Bereich kann sich etwas im Laufe des Lebens verändern. Manche dieser Veränderungen sind völlig harmlos und benötigen keine weiterführende Therapie. Andere Veränderungen jedoch sind gravierend und müssen zeitnah therapiert werden.

Mittels Ganzkörper-MRT lässt sich der gesamte Körper einschließlich aller Organe, knöcherner Strukturen wie das Skelett inklusive der Gelenke und auch das Gefäßsystem ohne Strahlenbelastung und ohne Kontrastmittel darstellen.

Dabei steht vor allem die Früherkennung von Veränderungen im Vordergrund. Dies betrifft häufig Tumorerkrankungen, Entzündungen sowie Gefäßverengungen. Herzkreislauf- und Tumorerkrankungen zählen zu den häufigsten Todesursachen in Deutschland.

Zu Beginn sind diese Veränderungen häufig symptomlos, zeigen also keinerlei Symptome. Daher sind sie so gefährlich. Werden diese Veränderungen allerdings frühzeitig erkannt, bestehen häufig sehr gute Chancen die Erkrankung zu heilen oder zumindest ein weiteres Fortschreiten zu verhindern.

Je nach Alter, Geschlecht und individuellem Risiko ist es sinnvoll, ein auf Sie individuell abgestimmtes Untersuchungsprotokoll festzulegen.

Welche Abschnitte werden untersucht?

Die Ganzkörper-MRT erlaubt eine Beurteilung von Kopf bis Fuß.

  • Im Kopf können so zum Beispiel ältere Schlaganfälle oder Raumforderungen dargestellt werden.
  • Im Hals lassen sich Verengungen der Halsschlagader, die zum Schlaganfall führen können, auffällige Lymphknoten oder eine vergrößerte Schilddrüse veranschaulichen.
  • Im Brustbereich lassen sich Aufweitungen der Hauptschlagader, größere Lungentumore oder Herzvergrößerungen abbilden.
  • Im Bauch befinden sich Organe wie die Leber, die Gallenblase, die Nieren und Nebennieren oder die Bauchspeicheldrüse. Auch hier lassen sich mittels Ganzkörper-MRT frühzeitig Veränderungen erkennen.

Auch Veränderungen der Wirbelsäule wie Bandscheiben-Vorwölbungen oder Verengungen der Rückenmarkskanals lassen sich mit Hilfe der MRT darstellen.

Welchen Vorteil bietet ein Ganzkörper-MRT?

Mit dieser Untersuchung lässt sich der gesamte Körper ohne Strahlenbelastung anschauen.

 

Prostata-Magnetresonanztomografie (Prostata-MRT)

Eine Aufnahme aus der Prostata-MRT

Eine Aufnahme aus der Prostata-MRT in der Radiologie Nürnberg Martha-Maria.

Wer führt das Prostata-MRT durch?

Der Chefarzt der Radiologie Nürnberg, Professor Dr. med. Wolfgang Wüst, und sein Oberarztteam verfügen über die höchste in Deutschland erreichbare Qualifikationsstufe: das Q2-Zertifikat der Deutschen Röntgengesellschaft für mpMRT Prostata.

Wie funktioniert die multiparametrische Prostata-MRT?

Das Prostatakarzinom ist mit jährlich rund 50.000 Neuerkrankungen in Deutschland die häufigste bösartige Tumorerkrankung bei Männern. Wie bei vielen bösartigen Tumorerkrankungen ist es im Frühstadium meist symptomlos und wird deshalb oft erst spät entdeckt.

Bei rund 30 Prozent der über 50-jährigen Männer und bis zu 70 Prozent der 80-jährigen Männer findet sich ein symptomloses Prostatakarzinom. Aufgrund dieser Zahlen ist eine frühzeitige Erkennung des Tumors essentiell.

Dabei spielt die multiparametrische Prostata-MRT die zentrale Rolle und ist herkömmlichen Vorsorgemethoden wie dem Tastbefund, der Ultraschalluntersuchung oder der Bestimmung des Prostata-spezifischen Antigens (PSA-Wert) aus einer Blutprobe überlegen.

Bei der Prostata-Magnetresonanztomografie kommen verschiedene Techniken zur Darstellung der Anatomie, der Zelldichte und der Gefäßversorgung der Prostata zum Einsatz. Die Prostata-MRT gilt daher zurzeit als das sensitivste radiologische Verfahren einen Tumor zu entdecken, wobei ein unauffälliges MRT die Erkrankung mit hoher Sicherheit ausschließt. Dadurch können eventuell unnötige diagnostische und therapeutische Eingriffe verhindert werden.

Die Prostata-MRT ist eine aufwändige und technisch anspruchsvolle Untersuchung und liefert nur in der Hand von Experten verlässliche und reproduzierbare Ergebnisse. Wichtig ist der Einsatz moderner Techniken, wie sie von den Fachgesellschaften für Urologie und Uroradiologie im Rahmen der sogenannten multiparametrischen MRT (mpMRT) gefordert werden. Die Begutachtung erfolgt gemäß der sogenannten PI-RADS-Kriterien („Prostate Imaging Reporting and Data System") in ihrer aktuellen Version.

Wie läuft die Untersuchung ab?

Entscheidend für eine optimale Bildqualität sind bewegungsfreie Aufnahmen. Da die Untersuchung rund 30 Minuten dauert, sollten Sie bequem im Gerät liegen und Ihre Harnblase sollte weitgehend entleert sein. Am Tag vor der Untersuchung sollte auf blähende Speisen wie Bohnen wenn möglich verzichtet werden, da größere Luftansammlungen im Enddarm die Bildqualität beeinträchtigen können.

Eventuelle Darmbewegungen können mit Hilfe eines gut verträglichen Medikamentes zusätzlich herabgesetzt werden. Der Einsatz einer in den Enddarm eingeführten Spule („Endorektalspule“) ist aufgrund der Modernität unseres MRT-Gerätes und der verwendeten Sequenzen nicht nötig.

Für wen ist ein Prostata-MRT sinnvoll?

Ein auffälliger PSA-Wert oder ein auffälliger Tastbefund sind die häufigsten Gründe für ein Prostata-MRT. Weder der PSA-Wert noch der Tastbefund bedeuten allerdings, dass mit Sicherheit eine Tumorerkrankung vorliegt. Diese Veränderungen können nämlich auch durch Entzündungen entstehen und somit gutartig sein.

Die Prostata-MRT kann gutartige von bösartigen Veränderungen unterscheiden und liefert daher essentielle Informationen, um eine Stanzbiopsie bei gutartigen Befunden zu verhindern oder bei bösartigen Befunden exakt zu planen.

Herz-Computertomografie (Herz-CT)

3D- Aufnahme aus der Herz-Computertomografie

3D-Aufnahme des Herzens mittels Herz-CT in der Radiologie Nürnberg Martha-Maria.

Wer führt das Herz-CT durch?

Der Chefarzt der Radiologie Nürnberg, Prof. Dr. med. Wolfgang Wüst, verfügt über die höchste Qualifikationsstufe für Herz-CT: das Q3-Zertifikat der Deutschen Röntgengesellschaft.

Wie funktioniert ein Herz-CT?

Pro Jahr erleiden über 200.000 Menschen in Deutschland einen Herzinfarkt und mehr als 50.000 versterben daran. Mittels Herz-CT können frühzeitig Veränderungen der Herzkranzgefäße erkannt und entsprechende medikamentöse Therapien oder Änderungen des Lebensstils eingeleitet werden, um einem Herzinfarkt vorzubeugen.

Mit der Herz-CT können insbesondere Verengungen und Verkalkungen der Herzkranzgefäße dargestellt werden. Optimale Bildqualität bei individuell angepasster Niedrigdosisuntersuchung erfordert modernste Technik, die in der Radiologie Nürnberg in Form eines High-End Dual Source CT-Gerätes zur Verfügung steht. 

Solch moderne Gerätetechnik ist in radiologischen Praxen im Großraum Nürnberg, Fürth und Erlangen nicht anzutreffen.

Wie hoch ist die Strahlendosis?

Im Gegensatz zu vielen in der Region vorhandenen CT-Geräten kann mit unserem CT-Gerät aufgrund der hohen zeitlichen Auflösung und der schnellen Untersuchungstechnik ein schlagendes Organ wie das Herz mit sehr geringer Dosis dargestellt werden.

Je nach individueller Körperstatur liegt die Untersuchungsdosis häufig unter der jährlichen durchschnittlichen natürlichen Strahlenbelastung eines in Deutschland lebenden Menschen.In vielen Fällen kann so eine Herzkatheteruntersuchung mit den damit verbundenen Risiken vermieden werden.

Wie läuft die Untersuchung ab?

Die Bildqualität der Herz-CT wird von der Qualität des verwendeten CT-Geräts, aber auch von einer möglichst niedrigen und regelmäßigen Herzfrequenz bestimmt. Um die Herzfrequenz vor der Untersuchung zu stabilisieren, werden häufig herzfrequenzsenkende Medikamente eingesetzt. Das sind die sogenannten Beta-Blocker. Zur Beurteilung eventueller Engstellen der Herzkranzgefäße wird ein gut verträgliches, jodhaltiges Kontrastmittel verabreicht.

Um den Grad der Verkalkung Ihrer Herzkranzgefäße zu bestimmen, kann zusätzlich ein sogenanntes Calcium-Scoring (Kalkscore) durchgeführt werden. Mit dem Ergebnis kann das individuelle Risiko abgeschätzt werden, im weiteren Leben an relevanten Engstellen zu erkranken und im Zuge dessen einen Herzinfarkt zu erleiden. Das Calcium-Scoring (Kalkscore) wird ohne Kontrastmittel und mit äußerst niedriger Dosis durchgeführt.

Herz-Magnetresonanztomografie (Herz-MRT)

Wer führt das Herz-MRT durch?

Der Chefarzt der Radiologie Nürnberg, Prof. Dr. med. Wolfgang Wüst, verfügt über die höchste Qualifikationsstufe für Herz-MRT: das Q3-Zertifikat der Deutschen Röntgengesellschaft.

Wie funktioniert ein Herz-MRT?

Für die Beurteilung der Pumpfunktion des Herzens oder von Narbengewebe zum Beispiel nach einem Herzinfarkt oder nach einer Herzmuskelentzündung (Myokarditis) ist die Herz-MRT die Methode der Wahl und der Computertomografie diesbezüglich deutlich überlegen. Insbesondere durch den exzellenten Weichteilkontrast können Veränderungen des Herzmuskels optimal dargestellt werden.

Was ist ein Stress-MRT?

Eine in den letzten Jahren immer wichtiger werdende Untersuchung ist die sogenannte Stress-MRT. Dabei werden in der CT-Untersuchung beschriebene Engstellen hinsichtlich ihrer Behandlungsbedürftigkeit untersucht. Erweist sich die Engstelle in der Stressuntersuchung als nicht relevant, kann auf eine Herzkatheteruntersuchung verzichtet werden.

Wie läuft die Untersuchung ab?

Die Herz-MRT zählt zu den technisch schwierigsten Untersuchungen. Umso wichtiger sind daher ein kompetentes Team und die Verfügbarkeit modernster MRT-Geräte. Die Untersuchungsdauer beträgt zwischen 30 und 45 Minuten. Während der Untersuchung werden Atemkommandos gegeben, um die Bildqualität nicht durch Atemartefakte zu verschlechtern.

Bei der Stress-MRT wird ein Medikament in eine Vene gespritzt. Damit kann beurteilt werden, ob über eine Engstelle in den Herzkranzgefäßen noch ausreichend Sauerstoff transportiert wird oder ob es zu einer Minderversorgung des Herzmuskels kommt.

Um eine optimale Wirkung des Medikaments zu erreichen, muss im Vorfeld der Untersuchung (mindestens 24 Stunden) auf das Konsumieren von Getränken und Speisen, die Koffein, Theophyllin oder Theobromin enthalten, verzichtet werden. Dazu gehören Kaffee, Kakao, koffeinfreier Kaffee, Tee, Energy Drinks, Cola und Schokolade.

Nach Möglichkeit sollten Sie auch auf folgende Medikamente verzichten:

  • Nitrate (Nitrolinqual, Molsidomin, ISDN, Corvaton)
  • Beta-Blocker (zum Beispiel: Metoprolol, Beloc Zok, Carvedilol, Bisoprolol)
  • Medikamente mit dem Wirkstoff "Theophyllin"

Schlaganfall-Vorsorge

MRT-Bild eines Gehirnschlags mit markierter Schlaganfallregion in der Radiologie Nürnberg.

Gefäßverschluss bei einem Schlaganfall im Kopf-MRT in der Radiologie Nürnberg Martha-Maria.

Warum ist die Schlaganfall-Vorsorge wichtig?

Unser Blut strömt ein Leben lang durch unser Gefäßsystem. Leider unterliegt auch dieser Teil unseres Körpers im Laufe unseres Lebens altersbedingten Veränderungen, die Erweiterungen (Aneurysmen) oder Ablagerungen an der Gefäßwand und Verengungen verursachen können.

Während Erweiterungen plötzlich platzen können und schnell in lebensgefährlichen Blutungen enden, kann es hinter Gefäßengstellen zu einer Minderversorgung des Gewebes mit Sauerstoff kommen. Aber auch vollständige Verschlüsse der Gefäße können auftreten, die sich je nach Organ unterschiedlich bemerkbar machen.

Wie läuft die Schlaganfall-Vorsorge ab?

In diesem Zusammenhang sind sicherlich der Herzinfarkt und der Schlaganfall die bekanntesten Krankheitsbilder, bei denen es zu einem Gefäßverschluss kommt. Leider verspürt man bis zum akuten Eintritt des Verschlusses häufig keine Symptome. Daher ist es von entscheidender Bedeutung, diese Veränderungen frühzeitig zu erkennen und zu therapieren.

Während beim Herzen Engstellen mittels CT (Computertomographie) sekundenschnell untersucht werden können (Herz-CT), kommt insbesondere im Kopf-Hals-Bereich die MRT (Magnetresonanztomographie) zum Einsatz. Mit ihr können innerhalb weniger Minuten ohne Strahlenbelastung Engstellen erkannt und so Ihr individuelles Risiko eingeschätzt werden.

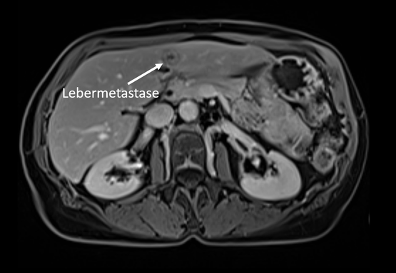
Leberkrebs-Vorsorge

Darstellung einer kleinen Lebermetastase mittels Leber-MRT in der Radiologie Nürnberg.

Darstellung einer kleinen Lebermetastase mittels Leber-MRT in der Radiologie Nürnberg Martha-Maria.

Die Leber befindet sich im Oberbauch und ist das zentrale Organ des Stoffwechsels. Dabei lässt sich die Leber in einen rechten und linken Leberlappen unterteilen. Die häufigsten bösartigen Veränderungen, die man in der Leber findet, entstehen nicht aus Leberzellen, sondern sind Tochtergeschwülste (Metastasen) von anderen bösartigen Erkrankungen wie zum Beispiel Darmkrebs.

Die häufigsten von Leberzellen ausgehenden bösartigen Erkrankungen sind der Leberzellkrebs (Hepatozelluläres Karzinom) und der Gallengangskrebs (Cholangiozelluläres Karzinom). Häufig zeigen sich erst spät Symptome, die allerdings unspezifisch ist. Auch die Leberfunktion ist am Anfang nicht eingeschränkt.

Wie läuft die Leberkrebs-Vorsorge ab?

Daher ist es besonders wichtig, Veränderungen frühzeitig zu erkennen. Insbesondere die MRT kann im Anfangsstadium bereits Raumforderungen in der Leber abbilden und ist der CT zur Beurteilung der Leber überlegen.

Nierenkrebs-Vorsorge

MRT-Aufnahme eines kleinen Nierentumors in der Radiologie Nürnberg Martha-Maria.

Der mit Abstand häufigste bösartige Nierentumor ist das Nierenzellkarzinom. Dieser zählt zu den relativ seltenen Tumorerkrankungen mit rund 15.000 Neuerkrankungen in Deutschland pro Jahr. Wie so häufig zeigt auch dieser Tumor in der Regel keine frühen Symptome, da die Harnausscheidung von der zweiten Niere geleistet werden kann.

In den letzten Jahren und Jahrzehnten werden Veränderungen der Niere häufiger und in einem früheren Stadium entdeckt. Damit verbessern sich die therapeutischen Optionen und die Heilungschancen. Dies ist dem vermehrten Einsatz der Bildgebung zu verdanken.

Wie läuft die Nierenkrebs-Vorsorge ab?

Wie bei fast allen Organen ist auch für die Niere die CT oder MRT die Methode der Wahl. Der häufig durchgeführte Ultraschall dient insbesondere im Bauchraum nur zu einer groben Orientierung und reicht für eine umfassende Vorsorge nicht aus. 

Unterstützung gesucht

Unterstützen Sie unsere gemeinnützigen Projekte.

Jetzt spenden Projekte kennenlernen

Fachbereiche
Zurück
Fachbereiche Kliniken
Fachbereiche
Kliniken Allgemein-, Viszeral- und Gefäßchirurgie Anästhesiologie und operative Intensivmedizin
Kliniken
Anästhesiologie und operative Intensivmedizin Anästhesiologie und operative Intensivmedizin Anästhesie und operative Intensivmedizin
Akutgeriatrie Frauenklinik Gastroenterologie Gefäß- und endovaskuläre Chirurgie Kardiologie Neurologie Orthopädie und Unfallchirurgie Psychosomatische Medizin und Psychotherapie Urologie
Zentren Institute Abteilungen Belegkliniken Medizinische Versorgungszentren Kooperationen
Patienten & Angehörige
Zurück
Karriere & Ausbildung
Zurück
Kontakt
Karriere Alle Infos Alle Jobs