Krankenhaus Martha-Maria St. Theresien
Nierentumor, Harninkontinenz und Co.

Urologische Diagnostik und Therapie

Konservative und operative Behandlungen von urologischen Erkrankungen in der Klinik für Urologie am Krankenhaus Martha-Maria St. Theresien Nürnberg

Prof. Dr. Georgios Hatzichristodoulou im Aufklärungsgespräch zu urologischen Erkrankungen in der Klinik für Urologie am Krankenhaus Martha-Maria Nürnberg

Urologische Untersuchungen von Prostata, Harnleiter und Co.: Unser Behandlungsangebot in Nürnberg

Urologische Erkrankungen und Krankheitsbilder aus der Urologie sind oftmals komplex. Sie äußern sich durch eine Vielzahl an unterschiedlichen Symptomen. Deshalb sind eine urologische Diagnostik und eine individuell angepasste Therapie entscheidend, um urologische Erkrankungen frühzeitig zu erkennen und erfolgreich zu behandeln.

Medizinische Schwerpunkte unserer Klinik für Urologie in Nürnberg

In der Klinik für Urologie am Krankenhaus Martha-Maria St. Theresien Nürnberg bieten wir Ihnen deshalb ein breites Spektrum an Untersuchungen sowie konservativen und operativen Behandlungen auf Basis der aktuellen nationalen und internationalen Leitlinien.

Schwerpunkte unseres Behandlungsspektrums sind:

Diagnostische und operative Eingriffe mit modernster Technologie

Mit unserer hochmodernen apparativen Ausstattung führen wir diagnostische und operative Eingriffe kompetent und leitliniengerecht durch. Neben etablierten operativen offen-chirurgischen Eingriffen bieten wir verschiedene minimalinvasive Verfahren wie Laparoskopie (Schlüssellochchirurgie), Lasertherapie der Prostata sowie transurethrale Eingriffe (inklusive bipolarer transurethraler Prostataresektion, TUR-P) an.

Symptome, Behandlung und Entfernung von Harnleitersteinen

Mit Blick auf die Harnsteintherapie stehen uns alle modernen, endo-urologischen Optionen – inklusive der Mini-PNL (minimalinvasive perkutane Nephrolitholapaxie) – zur Verfügung.

CT-Aufnahme eines Nierentumors zur urologischen Diagnose und Therapie.

Behandlung von Inkontinenz

Darüber hinaus bieten wir durch unser interdisziplinäres Kontinenz- und Beckenbodenzentrums alle konservativen und operativen Behandlungen der Inkontinenz der Frau und des Mannes an.

Behandlung von Penisverkrümmungen

Außerdem besitzt unsere Klinik für Urologie langjährige Expertise im Bereich der plastisch-rekonstruktiven Eingriffe am Penis. Dazu gehören, wie die Penisdeviation bei Induratio penis plastica (IPP) und die angeborene Penisdeviation sowie die Implantation von Schwellkörperimplantaten (Penisprothesenimplantation) bei erektiler Dysfunktion.

In unserer täglichen Arbeit sind wir dem diakonischen Auftrag verpflichtet. Deshalb setzt unser Team alles daran, um unsere Patienten individuell zu betreuen und bestmöglich zu behandeln.

Harninkontinenz

Eine CT-Aufnahme einer Harnblase.

Eine CT-Aufnahme einer Harnblase.

Ursachen für Harninkontinenz

Harninkontinenz betrifft Kinder, Jugendliche und Erwachsene, Männer und Frauen. Im Lauf des Lebens sorgen unterschiedliche Ursachen dafür, dass ein Mensch seinen Urinabgang gar nicht oder nicht immer kontrollieren kann.

Im fortgeschrittenen Alter kommt es oft durch eine Beckenbodenschwäche zur Harninkontinenz. Männer, die an der Prostata operiert oder diese entfernt bekommen haben, neigen ebenso dazu.

Behandlung von Harninkontinenz

Doch die Harninkontinenz aus diesen sowie anderen Ursachen kann in der Urologie erfolgreich behandelt werden. Das geschieht entweder konservativ oder operativ. Dadurch gewinnen die Patientinnen und Patientinnen an Unabhängigkeit und Lebensqualität.

Darum lohnt es sich, unser Angebot zur Diagnostik und Therapie zu nutzen. Sprechen Sie uns auf Ihre Möglichkeiten an. Wir helfen Ihnen gerne.

Was ist Harninkontinenz?

Laut der Internationalen Kontinenzgesellschaft (ICS) gilt jeglicher unwillkürlicher Urinverlust mit sozialen und hygienischen Problemen und objektiver Nachweisbarkeit als Harninkontinenz. Millionen von Menschen in Deutschland sind betroffen. Auch daher werden die Behandlungsmöglichkeiten immer besser.

Die fünf Formen der Harninkontinenz

Grundsätzlich unterscheidet die Medizin zwischen fünf Formen der Harninkontinenz.

1. Belastungsharninkontinenz oder Stressinkontinenz

Bei der Belastungs- oder Stressinkontinenz handelt es sich um eine Störung im Bereich des Verschlussapparates (Schließmuskel) der Blase. Bei körperlicher Belastung geht der Urin meist spritzartig verloren – etwa beim Husten, Lachen oder schnellen Aufstehen.

Dabei kommt es zu einer Druckerhöhung in der Blase. Die Stressinkontinenz tritt am häufigsten bei Frauen und bei Männern fast nur nach Operationen wie einer Radikaloperation oder transurethralen Ausschabung der Prostata (TURP) auf.

Die Belastungsharninkontinenz lässt sich nochmals unterteils. Dabei kennt die Medizin drei Schweregrade:

  • Grad 1: Urinverlust beim Husten, Lachen und Niesen
  • Grad 2: Urinverlust bei abrupten Körperbewegungen (Aufstehen, Wäsche aufhängen etc.)
  • Grad 3: Inkontinenz bei unangestrengten Bewegungen, im Liegen

2. Dranginkontinenz

Bei der Dranginkontinenz kommt es zum Urinverlust nach einem plötzlich auftretenden Harndranggefühl, das nicht unterdrückbar ist. Der Urinverlust ist meist schwallartig. Etwa 17 Prozent der deutschen Bevölkerung über 45 Jahren leiden an dieser Form der Blasenstörung.

Die Medizin unterscheidet zwischen zwei Formen der Dranginkontinenz:

  • Die motorische Dranginkontinenz äußert sich durch ein unwillkürliches Zusammenziehen des Blasenmuskels.
  • Die sensorische Dranginkontinenz zeichnet sich durch ein plötzlich auftretendes starkes Harndranggefühl aus, ohne dass sich der Blasenmuskel zusammenzieht.

3. Überlaufinkontinenz

Bei der Überlaufinkontinenz tritt der Urinverlust bei übervoller Blase auf, ohne dass sich der Blasenmuskel zuvor zusammenzieht.

Dahinter steckt ursächlich oft eine schon lange bestehende Verengung des Blasenauslasses – bei Männern in der Regel aufgrund einer Prostatavergrößerung mit Überdehnung der Blase, bei Frauen durch eine Blasensenkung mit Abknicken der Harnröhre. Doch auch verschiedene Medikamente, die den Blasenmuskel lähmen, begünstigen diese Form der Harninkontinenz.

4. Reflexinkontinenz

Die Reflexinkontinenz besteht ausschließlich bei neurologischen Erkrankungen des Rückenmarkes. Durch die Erkrankung des Rückenmarks ist dem Gehirn des Patienten die Kontrolle über die Blase entzogen worden. Es kommt zum ungewollten Urinverlust, weil sich die Blase ab einem gewissen Grad der Füllung unkontrolliert zusammenzieht.

5. Extraurethrale Inkontinenz

Die extraurethrale Inkontinenz ist eine seltene Form der Harninkontinenz. Sie tritt bei Kindern durch eine angeborene Fehlbildung des unteren Harntraktes auf. Beispielsweise kann der Verschlussapparat der Blase durch eine Fehlmündung des Harnleiters unterhalb des Blasenschließmuskels ausgeschaltet sein.

Allerdings werden die meisten Kinder mit extraurethraler Inkontinenz frühzeitig operiert. Bei Erwachsenen sehen wir diese Form der Inkontinenz ausschließlich nach Operationen, die zum Beispiel zu einer Fistelbildung zwischen Blase oder Harnleiter und Scheide geführt haben.

Nierensteine und Harnleitersteine

Eine endoskopische Aufnahme eines Nierensteins.

Eine endoskopische Aufnahme eines Nierensteins.

Die Behandlung von Nierensteinen oder Harnleitersteinen wird in unserer Klinik für Urologie häufig und erfolgreich durchgeführt. Hierzu stehen in unserer Abteilung modernste diagnostische wie auch operative Verfahren zu Verfügung.

Die Therapie erfolgt nach den neuesten Leitlinien und richtet sich dabei neben der individuellen Patientengeschichte, auch an die Steinlage, Steingröße und Steinart.

Entfernung von Nierensteinen und Harnleitersteinen unterschiedlicher Größen

Durch minimalinvasive Eingriffe wie der semiregiden und flexiblen Harnleiter- und Nierenspiegelung (Ureterorenoskopie) lassen sich kleinere Steine des Harntraktes schonend entfernen.

Größere Steine können durch die Anwendung eines Lasers (Laserlithotripsie) oder durch Ultraschall zerkleinert und entfernt werden.

Bei sehr großen Nierensteinen erfolgt ein direkter endoskopischer Zugang zur Niere, worüber die Steine entfernt werden (perkutane Nephrolitholapaxie). Um dies möglichst schonend durchzuführen, verwenden wir in unserer Klinik meist „Mini“- Endoskope (Mini- PNL).

Behandlung und Therapie von Nierensteinen und Harnleitersteinen

Steinleiden prägen den Behandlungsalltag in der Urologie. Je nach Lage und Größe der Steine kommen unterschiedliche Verfahren zum Einsatz. Zur Therapie größerer Nierensteine eignet sich die perkutane Nephrolitholapaxie besonders gut.

Mit einem Nephroskop – das ist ein Endoskop speziell für die Niere – können wir die Steine minimalinvasiv erreichen, zertrümmern und schließlich entfernen. Zuvor muss das Nierenhohlraumsystem perkutan punktiert und der Punktionskanal so erweitert werden, dass dies möglich ist.

Dieser endourologische Eingriff ist ebenso schonend für die Patienten wie sicher, wenn erfahrene Chirurgen ihn vornehmen.

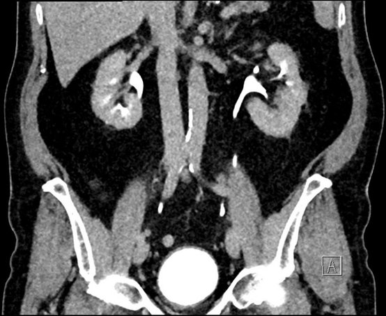
Harnleitertumor und Nierentumor

Eine CT-Aufnahme eines Nierentumors.

Eine CT-Aufnahme eines Nierentumors.

Früherkennung und Behandlung von Nieren- und Harnleitertumor

Tumore der Niere und des Harnleiters sind selten und können dank moderner Medizin häufig frühzeitig erkannt und organerhaltend behandelt werden. Neben hochmodernster Diagnostik steht Ihnen in unserer Klinik für Urologie das gesamte Spektrum der operativen und medikamentösen Therapie zur Verfügung.

Hierbei orientieren wir uns stets an den neuesten Leitlinien und Forschungserkenntnissen. Die Wahl der Therapie ist dabei von der Tumorart, der Tumorgröße und Lage abhängig und orientiert sich stets an der Patientensituation. 

Operationen bei Nierentumor und Harnleitertumor

Zu operativen Therapie stehen bei uns folgende Eingriffe zu Verfügung:

  • Endurologische (minimalinvasive) Operationen bei Harnleiter- oder Nierenbeckentumoren
  • Laparoskopische (Schlüssellochchirurgie) Nierentumorentfernung, Nierenteilentfernung oder Entfernung der Niere
  • Offen-chirurgische Nierentumorentfernung, Nierenteilentfernung oder Entfernung der Niere
  • Offen-chirurgische Entfernung von Metastasen

Neben der operativen Therapie bieten wir zudem die Möglichkeit einer medikamentösen Tumortherapie mit stationären Aufenthalt (Chemotherapie oder Immuntherapie).

Unterstützung gesucht

Unterstützen Sie unsere gemeinnützigen Projekte.

Jetzt spenden Projekte kennenlernen

Fachbereiche
Zurück
Fachbereiche Kliniken
Fachbereiche
Kliniken Allgemein-, Viszeral- und Gefäßchirurgie Anästhesiologie und operative Intensivmedizin
Kliniken
Anästhesiologie und operative Intensivmedizin Anästhesiologie und operative Intensivmedizin Anästhesie und operative Intensivmedizin
Akutgeriatrie Frauenklinik Gastroenterologie Gefäß- und endovaskuläre Chirurgie Kardiologie Neurologie Orthopädie und Unfallchirurgie Psychosomatische Medizin und Psychotherapie Urologie
Zentren Institute Abteilungen Belegkliniken Medizinische Versorgungszentren Kooperationen
Patienten & Angehörige
Zurück
Karriere & Ausbildung
Zurück
Kontakt
Karriere Alle Infos Alle Jobs